Prosthodontics Crowns (Caps) Smile Gallery

Crowns (Caps) | Patient Photos Depicting:

office
Before

office
After

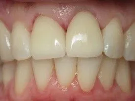
Before: Front (left) Central tooth has a poor restoration. Does not look natural and is not contoured properly to match the gumline of the rest of the teeth.

After: Replaced with an All Porcelain Crown (no metal). Tooth is now contoured to match the rest of the gumline. Restored tooth looks very natural and matches the shape and color of the patient's teeth.


office
Before

office
After

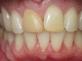
Before: Patient needs Upper Arch Rehabilitation. Presents with Upper Anterior teeth that are stained, incisal edges (tooth edge) are worn down and chipped, and gumline recession is present.

After: Smile restored with placement of 8 Upper All Porcelain Crowns (Caps). Gumline and incisal edges are now uniform. Patient now has longer, better shaped teeth to enhance the smile line and aid in chewing/biting function.


office
Before

office
After

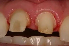
Before: Patient needs a Single Tooth Replacent of one Upper Central Incisor.

After: Smile and function restored with a Single Implant and an All Porcelain Crown (Cap) that fits securely over the implant.


office
Before

office
After

The patients right tooth fractured and was replace by an implant. Two all ceramic crowns were fabricated.


office
Before

office
After

The patients right tooth fractured and was replace by an implant. Two all ceramic crowns were fabricated.

(Note: Patients depicted in photos have provided their consent to display their pictures online. Each patient is unique, and results may vary. Please contact us if you have questions or wish to schedule an appointment.)


Our Location

Find us on the map

Hours of Operation

Monday:

8:00 am-5:00 pm

Tuesday:

7:15 am-5:00 pm

Wednesday:

8:00 am-5:00 pm

Thursday:

10:00 am-6:00 pm

Friday:

7:30 am-2:00 pm

Saturday:

Closed

Sunday:

Closed

Testimonials

What Our Clients Say About Us

  • "This office at Washington Street in Wellesley is incredibly well run. Everybody is friendly and very professional.

    Lyn Galante cleans my teeth very thoroughly and gently and gives me good dental health advice.

    Suzanne Gendell is a fabulous dentist, a thoughtful and very pleasant person, and I trust her implicitly.

    When people say "I hate to go to the dentist" I always respond "I don't!""
    Ilse S
  • "Dr. Harrison is the BEST dentist I have ever had. He is an expert in the art of dentistry, He explains procedures in detail and answers all questions and concerns completely. He is very professional and easy to talk to. I always feel confident that the work he performed is of the highest quality. I would highly recommend him."
    Jane D
  • "A lot of thought and preparation has obviously gone into the new set up. I felt very safe, the space was very clean and the new procedures all made sense. I’ll be back in 6 months"
    Jerry D
  • "Very thorough, efficient hygiene appointment and exam with Dr. Gendel. I could not be more satisfied!"
    Catherine H
  • "I was treated very professionally and courteously by Dr. Burnett and Bruno. They were very positive and gave me great hope for solutions to my dental dilemma. I look forward to future dental visits. Thank you."
    Manuel D
  • "Very professional and courteous service. Suzy is an exceptional Dental technician."
    Ashok P
  • "This group is the most professional and caring group you could ever ask for. Dr.Harrison and his team are nothing but the best!"
    Catharine F
  • "I really appreciated the warmth and kindness of the people who worked at MetroWest Dental. The doctor and assistant were very professional yet friendly, too. I loved it!"
    GABRIELLE E
  • "Excellence experience from start to finish!"
    Robert A
  • "Absolutely amazing! The responsiveness, professionalism and genuine caring was unparalleled."
    Casey R
  • "Great service. I feel very safe. Such expertise and into cutting edge safety COVID efforts"
    Carla B
  • "Metro west Dental spends more time with their patients than any other dentist office I’ve been to. Great staff."
    Brett S
  • "Great dentist and extremely friendly staff. Very professional and have only positive experiences visiting."
    Zachary Zieper
  • "Super friendly and highly recommended by my ace dentist who is retiring."
    Beryl Bergen
  • "Great as always. Such pros, such warmth and care.
    My mouth could not be happier."
    Arno Rafael Minkkinen
  • "Dr. Inna gave me Botox and it is terrific. The procedure was painless. She was very gentle and kind.
    During the next few weeks, so many people in my life noticed how much younger I look. My forehead wrinkles and crow’s feet are gone.
    I highly recommend Dr. Inna for all dental and cosmetic procedures."
    Carole Sage
  • "I was nervous to go to my dental appointment during a pandemic, but they made a lot of changes in their office and procedures to address the COVID situation. This made me feel safer and more comfortable, and of course, the continued excellence & quality of the care provided by the staff at this office remains the same as always."
    D T
  • "Lynn is great. Fast and comfortable. And fun to talk to. Very personable."
    John Fritts
  • "Fantastic cleaning. Good attention to Covid safety."
    Jim Ogletree
  • "Susie the hygenist did a fabulous job cleaning my teeth! Everyone at the office is warm and friendly. I highly recommend this dental office!"
    Donna Santamaria
  • "I have been a patient of Dr. Burnett for the past two years at Metro West Dental. The office is very clean and welcoming and the staff are always polite and knowledgeable.
    *Parking is also a plus*
    I started seeing Dr.Burnett for Botox that started out cosmetically. Dr.Burnett made the experience very pleasant from my first time and has stayed that way till now! Dr.Burnett had suggested that I try the Botox for my clenching and it has HELPED tremendously. I’m very thankful for her ability to make me feel beautiful and confident in her care."
    Ester Kuritnik
  • "Dr. Burnett is an incredible dentist. I worked with her for both my Invisalign and Zoom whitening treatment, and I couldn't be happier with my result. She is extremely thorough and pays attention to every detail. My teeth are perfect because of her work. I highly recommend her."
    Caraline Zeizel
  • "My visit with Dr. Harrison was exceptional. The office was so organized and extremely clean and organized. I felt safe and well taken care of during my visit. Tina was attentive, competent and so friendly. Dr. Harrison has always maintained a A+++ office. Highest quality of dental care ! Thank you!"
    Carole Anne Parisi
  • "Beyond grateful and impressed. After a different dentist made some mistakes on a chipped filling and tore up the side of my mouth doing so, I was beside myself. Metro West got me in so quickly despite being booked. Dr. Burnett was beyond wonderful. She’s so kind and tried so hard to make everything painless. Tina was also wonderful to chat with and so on top of everything. The office was totally secure and COVID-19 safe with many precautions. I’m getting ready to move out of the area, but would recommend this office and Dr. Burnett to anyone. Top notch."
    Leah Salloway